最新公告:

  没有公告

您现在的位置: 心灵之窗-眼科医生网 >> 眼科知识 >> 眼科医生 >> 临床精要 >> 正文
专题栏目
更多内容
相关文章
更多内容
[组图]少见先天性双眼隐眼畸形病例         
少见先天性双眼隐眼畸形病例
作者:tianyuan 文章来源:眼科医生专业论坛 点击数:6667 更新时间:2003/8/31 11:57:26

 
本文章信息
作 者 资 料
作 者 主 页
我 要 收 藏
打 包 下 载
发 表 主 题
转 发 该 文
 >> 协和医学论坛联盟协和眼科医生专业论坛[求助]

[求助]

(这条文章已经被阅读了 23 次) 时间:2003/08/29 02:02pm  来源:tianyuan

此主题相关图片如下:
按此在新窗口浏览图片


小飞,男,2002年11月11日出生。
小飞出生时发现无睑裂,身体的其他器官发育也很健康,与同龄婴儿别无二致。右眼球部位长有约3厘米见方的肉包,左眼球部位的肉包略小一些。刚生下来时,两个肉包包还不怎么明显,但是时间一长,小飞眼球周围的肉包包越来越大。对光线特别敏感,稍稍有一点太阳光的照射,他都会情不自禁地把脸背过去,或是用小手遮挡。

 据相关资料显示,关于此类病情的报道全球只有17例,但都是单眼隐眼,双眼隐眼目前还没有报道。因此,我们希望全国各地乃至全球的眼科专家们给予相关支持。现将病情及相关检查资料介绍如下:

简要病历
患  儿:     小飞 ,男,7个月20天.                  
主  诉:     出生后看不到双眼.
现病史:   生后即看不到双眼,在眼球部位可见一层相连的皮肤,皮下隐约可见类眼球样体并逐渐增大.右眼尤为明显.2003年6月24日以先天性隐眼畸形入院.
个人史:   为足月剖腹产,其母怀孕期间无明显疾病及用药史,妊娠1-6个月一直从事做皮鞋工作.生后除眼部外其他发育基本正常.
家族史:   父母非近亲结婚,家族中无类似眼疾.
检查所见: 患儿双眼部无睑裂,透过眼部皮肤隐约可见类眼球样圆体,有轻度转动感,触之有轻微波动感,无动脉搏动及血管音.双侧近太阳穴处可见横形未分化之睑裂痕迹,约1厘米长.眶缘整齐.右眼高出眶缘约1厘米,局部皮肤呈高张状态.无眉.
实验室检查:
B  超:    双眼呈葫芦状囊样改变.
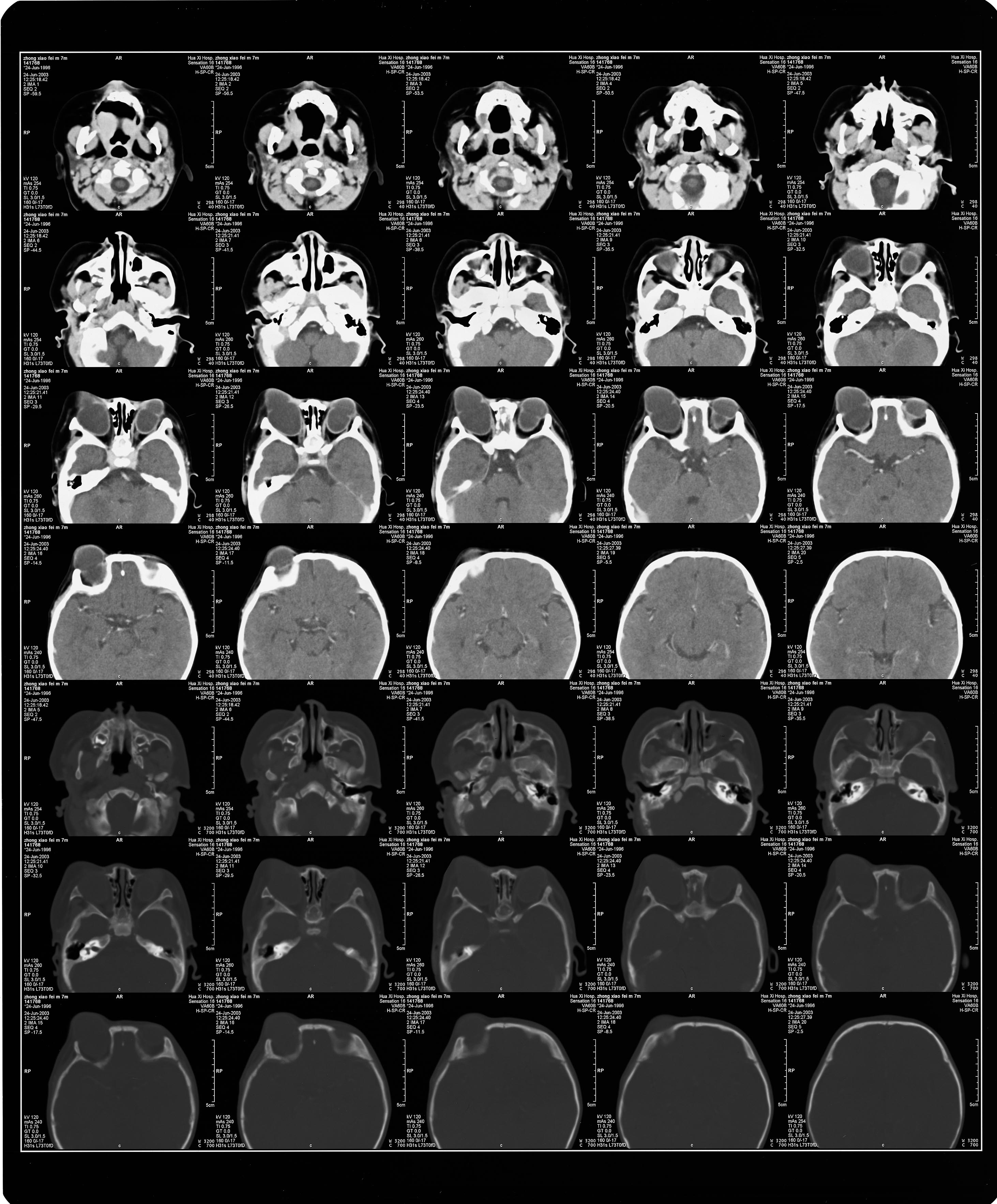
C  T:     双侧眼球增大,形态不规则,成分叶状,并向前突出.双眼晶体未显示,右眼视神经未显示.(见附图CT)
M R I:   双眼球形态失常,内未见晶状体,眼眶内脂肪间隙变小,双眼球外肌及双侧视神经显影.双眼眶扩大,以右侧明显..(见附图MRI-1,MRI-2)
VEP检查:   左眼P100潜伏期延长,振幅减小.
染色体检查: 未见异常.
目前初步诊断为 :1. 双眼隐眼畸形  2. 先天性眼球发育异常  3. 先天性青光眼(?) 4. 先天性角巩膜葡萄肿(?) 4. 先天性巩膜葡萄肿(?)  5. 视神经萎缩(?)

请为小飞的治疗提供意见和建议!  谢谢!




打包下载]   [引用该文]   [发表评论]   [转寄该文]   [关闭窗口
此文章相关评论:
该文章有8个相关评论如下:(点这儿论坛方式查看)

tianyuan 发表于: 2003/08/29 02:05pm
相关图片如下:
按此在新窗口浏览图片

附上ct图片
 顶部
tianyuan 发表于: 2003/08/29 02:19pm
相关图片如下:
按此在新窗口浏览图片

附上图片
 顶部
limeitang 发表于: 2003/08/29 06:23pm
真是罕见
 顶部
huangdisk 发表于: 2003/08/29 07:33pm
增长见识
 顶部
毛进" target=_blank>毛进 发表于: 2003/08/29 09:19pm
长见识。推荐给其他眼科大夫都看看。应该也请学会的常委们看看。
这种先天异常,恐怕没有什么好办法。
 顶部
gysun75 发表于: 2003/08/30 09:10am
孩子好可怜啊,做皮鞋的是不是有好些化学的东西啊,会不会对胎儿的畸形起作用啊?
 顶部
chenmin 发表于: 2003/08/30 02:46pm
小孩的智力如何?好可怜!可否给他作一些整形,比如义眼,眉毛之类,否则孩子怎么见人呀?
 顶部
blackbean 发表于: 2003/08/30 08:44pm
my god!
 顶部

眼科资讯录入:毛进    责任编辑:毛进 
  • 上一篇眼科资讯:

  • 下一篇眼科资讯:
  • 【字体: 】【发表评论】【加入收藏】【告诉好友】【打印此文】【关闭窗口
      网友评论:(只显示最新10条。评论内容只代表网友观点,与本站立场无关!)

    | 设为首页 | 加入收藏 | 联系站长 | 友情链接 | 版权申明 |
    眼科医生网 眼科医生网版权所有 @ 1998-2012
    部分文章和资源来源于网络,如果侵犯了您的版权,请指出! 站长:毛进
    信息产业部备案
    *京ICP备18030162号