| Chapter 83 Surgical Approach to the Rectus Muscles ALBERT W. BIGLAN Table Of Contents |
|
INDICATIONS TIMING CONTRAINDICATIONS SURGICAL PROCEDURE POSTOPERATIVE CARE RESULTS COMPLICATIONS AND THEIR MANAGEMENT REFERENCES |
| The earliest reports of the use of a procedure to correct strabismus occurred
in the middle of the 18th century, when an itinerant charlatan, Chevalier, John
Taylor, proceeded from city to city in Europe, with an
entourage of coaches and assistants, performing procedures to treat
cataracts and to correct strabismus. For the strabismus procedure, he
immobilized the patient by having the subject's head held securely
by a masked fool. Taylor probably performed an incidental tenotomy when
taking a snip of conjunctiva. He thought that he was cutting the nerve
to the muscle. The patient's eyes were patched, and instructions
were given to remove the patch no sooner than 3 days after the procedure. Taylor
then had sufficient time to collect his fee and leave
town, placing a comfortable day or two between a dissatisfied patient
and the “surgeon.”1–4 The results of Taylor's procedure are not reported. In 1839, Johann Freidrich Dieffenbach, of Berlin, successfully performed the first myotomy of an internal rectus muscle.1–5 Surgery was performed without antisepsis or skin preparation; the patient sat in a chair during the procedure. Even though Dieffenbach's procedures were performed before general anesthesia was available, restraint of the patient was discouraged. Three assistants, and as many as seven instruments, were used to perform the procedure. An incision was made into the nasal conjunctiva, and muscle tissue was brought into the wound and severed.5 The operation was considered to be “among the most valuable surgical improvements of this age.”5 Florent Cunier performed a myotomy of a lateral rectus only 3 days after Dieffenbach's procedure.4,6 Jones,7 in an 1847 textbook on the principles and practice of ophthalmic medicine and surgery, showed the primitive level of understanding of the causes and nonsurgical treatment of strabismus. One of the treatments for convergent strabismus included a “calomel purge or two,” or mercurial chalk given orally with a laxative, followed by “tonics.” When these measures failed, “section of the internal rectus muscle” was recommended. To accomplish this treatment, a vertical incision was made through the conjunctiva, and the internal rectus muscle was grasped with toothed forceps. A bent probe or a blunt hook was placed behind the tendon of the internal rectus, and the tendon was cut from its insertion, resulting in a free tenotomy. Two assistants were recommended, one to separate the eyelids and one to sponge blood to provide better visualization. Scleral perforation with loss of vitreous was listed as an uncommon complication.7 In 1853, von Graefe recommended performing a tenotomy at the insertion rather than a myotomy. He should be credited with providing a better understanding of the anatomy of the extraocular muscles. He refined the procedure by applying information gained after cadaver dissection. He recommended preserving Tenon's capsule and the “muscle sheaths.”3 He also introduced new instrumentation to perform surgery. In 1892, in a translated textbook of ophthalmology by Fuchs, Duane recounted recent advances in strabismus surgery.8 Topical application of cocaine was used for anesthesia. If convergent strabismus was found to be large, surgery was performed on both eyes. The surgical technique used at the end of the 19th century consisted of grasping the internal rectus muscle with forceps through a conjunctival incision made over the muscle insertion. The muscle was cut from its insertion. If an overcorrection occurred, advancement of the internal rectus muscle was recommended. This maneuver was accomplished by passing a silk suture through the conjunctiva at the limbus and attaching it to the muscle that was subsequently retrieved with a forceps. Scarring of the conjunctiva was recognized as a complication, as were exophthalmos and “sinking in of the caruncle.”8 Patients with divergent strabismus were treated with tenotomy of the lateral rectus muscle with a similar technique. Overcorrections were reported as “uncommon.” Tenotomy of the inferior rectus muscle was advocated to elevate eyes that had an inferior iris coloboma so that the visual axis could pass through the coloboma.8 In 1913, in a book titled Ophthalmic Surgery, Metter and Sweet9 recommended the use of a local anesthetic, either topical or subconjunctival, for muscle advancement procedures. To weaken the internal rectus muscle, a tenotomy was performed at the insertion of the muscle. They graded the effect by regulating the extent of the tenotomy. If an eye was undercorrected, silk support sutures were secured at the temporal limbus, passed through the upper and lower eyelids, and tied externally for 24 hours to hold the eye in an abducted position. If the operation produced an overcorrection, a “counteracting suture” was added. This suture was placed through the conjunctiva at the nasal limbus, passed back through the muscle tendon, and tied on the conjunctival surface. A tenotomy combined with an advancement procedure of the ipsilateral antagonist muscle was recommended to treat the “highest grades” of convergent strabismus.9 In 1936, in an essay on the treatment of concomitant strabismus, Travers10 stated that tenotomies of the medial rectus muscle “yielded unsatisfactory results” because “there were three times as many overcorrections as satisfactory results.” He recommended a recession of the internal rectus muscle combined with an advancement procedure of the lateral rectus muscle, to treat convergent strabismus. Surgery was performed “early”; in most cases, patients were between 3 and 6 years old. To recess a muscle, three fine chromic catgut sutures were inserted into the sclera as far behind the old insertion as one wished to displace the muscle. Sutures were passed through a portion of the muscle, which was held with a Prince forceps.10 Over the last four decades, three techniques for gaining access to a rectus muscle have been described. In 1954, Swan and Talbot11 advocated making a vertical conjunctival incision behind the insertion of the muscle. This incision was followed by a second incision into Tenon's capsule that was made parallel to the rectus muscle. “Intermuscular membranes are cut with blunt tipped scissors and fine absorbable sutures, threaded on small atraumatic cutting needles,” were used to secure the muscle to its new position. Two approaches were described in the 1960s. von Noorden12 used illustrations to detail the steps needed to gain access to a rectus muscle through an incision made at the limbus. A conjunctival incision was made at the limbus with blunt-tipped scissors. The conjunctiva and Tenon's tissue anterior to the muscle insertion were reflected so that the muscle could be visualized directly. Following these steps, a recession or resection of the muscle could be performed. In 1968, Parks13 described the fornix (cul-de-sac) incision for horizontal rectus muscle surgery. Previous techniques had used an approach to the rectus muscles in which incisions were made directly over or just anterior to the muscle. The fornix approach was unique because the incision was made behind the eyelid on the bulbar conjunctival surface, just above the cul-de-sac, or near the lower fornix of the lower eyelid. The location of the rectus muscle is identified with a Stevens' hook, which is replaced with a Green's hook. The muscle is moved into the incision by reflecting the conjunctiva and Tenon's capsule over the Green's hook. At the completion of the operation, the wound is left unsutured. Both recession and resection procedures of the horizontal rectus muscles can be performed with this technique. This incision has been adopted to approach the vertical rectus muscles and the oblique muscles. Recently, these suture techniques have been refined or improved. The introduction of adjustable sutures has provided the surgeon greater precision in achieving ocular alignment.14 The hang-back recession technique provides the ability to perform larger recessions of the rectus muscles safely, with reduced risk of scleral perforation. The augmented recession techniques have permitted large deviations to be corrected with surgery on fewer muscles.15–17 Posterior fixation or retroequatorial myopexy has enabled the surgeon to treat incomitant forms of strabismus.18,19 Over the last 40 years, it has become evident that great respect must be given to the Tenon's capsule tissue that surrounds the extraocular muscles. It is important to minimize tissue trauma if restriction of movement of the globe is to be avoided. The use of excessively deep and frequent passage of muscle hooks in search of a muscle can result in bleeding and incorporation of fat and Tenon's tissue. This damage can produce fibrosis, which later may produce restricted eye movements. Surgery now is performed with magnification and focal illumination. There have been changes in instrumentation. Helveston has redesigned and modified instruments to perform strabismus surgery in a less traumatic and more precise fashion. (Katina Products, Inc., Denville, NJ 07834) The replacement of catgut suture with synthetic absorbable suture material has increased the reliability of securing the muscle to its new insertion. These biodegradable synthetic materials have reduced tissue reaction and decreased the tissue response to healing. The fine-wire needles with spatulated tips enable the surgeon to secure the muscle to the globe with greater safety and accuracy. The amount of muscle to be resected or recessed usually is measured to the nearest 0.5 mm. The amount of surgery performed is graded to the size of the alignment defect, the degree of restriction of movement of the globe, and the presence of paresis of the extraocular muscles. The form of anesthesia used has come full circle; once again, ophthalmologists are returning to the use of topical and subconjunctival anesthetics to approach the extraocular muscles.20–23 For the last three decades, most strabismus surgery has been performed in outpatient or surgical short-stay facilities. |
| INDICATIONS |
| Surgery on the extraocular muscles is recommended when optical and other nonsurgical measures have not corrected strabismus. Surgery on a rectus muscle may be undertaken to align the eyes; eliminate diplopia; restore binocular vision;24–28 correct an abnormal head posture; reduce restricted eye movements; reduce nystagmus; enhance binocular function; prevent abnormal sensorial adaptations to strabismus; decrease asthenopia; and in rare situations, perform a biopsy on an extraocular muscle. In addition, surgery may be performed to increase the field of vision for a patient with an esotropic eye,29–31 repair trauma or disruption of an extraocular muscle, improve a patient's appearance and ability to secure employment,32 enhance a child's self-image,33,34,34a or provide patients with the ability to achieve comfortable eye-to-eye contact. |
| TIMING |
| Most surgeons will correct infantile forms of strabismus after a patient is 6 months old. Usually, a child takes up to 4 to 5 months to develop a strong fixation reflex. If a patient is born prematurely and has strabismus, a waiting period that is 6 months from the expected normal 40-week gestational date is recommended. For other forms of comitant strabismus, rectus muscle surgery is performed after nonsurgical measures are unsuccessful and there is stability in the size of the deviation. A waiting period of at least 6 months is suggested before incisional surgery is performed to correct paralytic strabismus. In some cases, occupational or other considerations may justify exceptions to this guideline. Further discussion of the indications for the treatment of specific problems is covered in their respective sections. |
| CONTRAINDICATIONS |
| Contraindications to rectus muscle surgery may be absolute or relative. An
absolute contraindication is an inadequate understanding of the patient's
strabismus problem or uncertainty as to which muscle or muscles
must be repositioned to correct the problem. For example, surgery
on a horizontal rectus muscle rarely corrects symptoms related to torsional
diplopia. Another absolute contraindication is the presence of
a health problem that limits life or precludes the safe administration
of anesthesia. In these cases, alternative methods of treatment may
be considered, such as the use of botulinum A toxin. Relative contraindications include guidelines as to when to avoid or postpone surgery, but exceptions may occur. Surgery is relatively contraindicated when measurement of the size of a deviation is variable or inconsistent. Patients who are young enough to be treated for amblyopia should have treatment to correct the amblyopia before undergoing surgical alignment of the eyes. If two rectus muscles have been removed previously, detaching a third or fourth rectus muscle should be avoided because doing so may compromise the vascular circulation of the anterior segment of the eye and produce anterior segment ischemia or necrosis.35 Additional relative contraindications include operating on a patient's dominant or preferred eye and operating on a patient who has one useful eye. For example, a monocular patient may have a face turn caused by nystagmus with a null point. A recess-resect procedure or a monocular Kestenbaum operation may be considered. In these situations, the patient and the parents should be informed of the remote risk of the development of a surgically related problem that may cause reduced vision. Surgeons should be cautious about performing surgery on a child whose parents have an unrealistic expectation of the result. |
| SURGICAL PROCEDURE | ||||||||||||||||||||||||||||||||||||||||||||||||||||||||||||||||||||||||||||||||||||||||||||||||||||||||||||||||||||||||||||
| Two approaches are used to access the rectus muscles: the fornix approach
and the limbal approach. The advantages and disadvantages of these
procedures are listed in Tables 1 and 2.
Table 1. Advantages of Surgical Approaches to the Rectus Muscles
Table 2. Disadvantages of Common Surgical Approaches to the Rectus Muscles
The type of anesthetic is chosen after consultation between the parent or patient and the surgeon. During this discussion, the advantages and disadvantages of each form of anesthesia should be explained and the most suitable form selected. The surgeon should assist the parent or patient in choosing the anesthetic. The use of a general anesthesia is most suited for the young or anxious patient. If the surgeon anticipates difficulty with the procedure, such as a re-operation, or if a “lost” muscle is going to be “found,” general anesthesia is the preferred technique. If both eyes require surgery, it is undesirable to administer a retrobulbar anesthetic that temporarily may decrease the patient's visual acuity. In these situations, topical, perimuscular, or general anesthesia is preferred. If the result of forced duction testing is critical in determining the amount of surgery to be performed, a local or topical anesthetic may be considered. During general anesthesia, the use of a depolarizing agent, such as succinylcholine, can alter the tone of the extraocular muscles temporarily. This alteration may affect the result of forced duction testing.36 The increased tone of the extraocular muscles can be avoided with the use of a nondepolarizing agent, such as pancuronium. If postoperative suture adjustment is required, it may be several hours before the patient recovers sufficiently from general anesthesia to permit the adjustment to be performed. Local anesthesia has been used for strabismus surgery for two centuries. Recent advances have made local anesthesia the preferred anesthetic in mature, cooperative patients.23 Because of the myotoxicity of bupivacaine, this agent should be avoided if a retrobulbar block will be used.37 Intravenous sedation with fentanyl citrate combined with midazolam will prepare cooperative adolescents for the administration of either retrobulbar anesthetic (1.0 to 2 ml of a 2% mepivacaine (Carbocaine) solution or a perimuscular block injected subconjunctivally over the muscle insertion. Topical anesthetic, either 4% lidocaine hydrochloride or a 1% to 4% solution of cocaine supplemented with intravenous sedation also may be used. The latter methods provide the patient with anesthesia of the globe without akinesia and permit the patient to participate in suture adjustment in the operating room if needed. Table 3 lists instruments that are used frequently for strabismus surgery.
Table 3. Surgical Instruments Commonly Used for Strabismus Surgery
* Storz Instrument, St. Louis, MO † Linvatec, Largo, FL ‡ Sparta Surgical, Hayward, CA
PREPARATION Instrument selection is reviewed by the surgeon (Fig. 1). The patient is positioned so that the head is stabilized, and a shoulder bolster or “roll” is placed under the patient's shoulders to extend the neck slightly (Fig. 2A). The patient is identified, as is the eye to receive surgery (see Fig. 2B).
The eyelids and surrounding skin are prepared with two scrubs using a 10% povidone iodine (Betadine) solution that is diluted 50:50 with warm saline38–41 (Fig. 3A and B). The conjunctival cul-de-sacs are irrigated with a bulb syringe and warm saline. Silver protein precipitating solutions, such as Argyrol are not used. A drop of 1% phenylephrine hydrochloride may be instilled into the conjunctival cul-de-sacs to reduce conjunctival bleeding (Fig. 4). The surgical field is isolated with a sterile adhesive barrier drape (see Fig. 4 and Fig. 5). The instrument tray is positioned, and sterile cotton-tipped applicators are placed on either side of the head so that they are available for sponging the field (Fig. 6). A wet-field or bipolar cautery is available. The surgeon is seated at the head of the operating table. The assistant sits to the left of the surgeon, and the surgical technician sits to the right (Fig. 7). Consistency in the procedures that are used to prepare a patient for surgery, such as positioning of the patient and location of the surgeon and the assistants, helps to eliminate confusion among the operating room staff before each procedure. Surgical instruments can be placed on a Mayo stand if a surgical technician is not available to pass instruments to the surgeon (see Fig. 6). The clinical record is positioned where the surgeon can refer to it.
RECESSION PROCEDURE: FORNIX INCISION This procedure is recession of the right medial rectus muscle. The eyelids are separated with a Barraquer open-blade wire eyelid speculum (Fig. 8). The open-blade design provides more room for exposure and makes it easier to pass the suture needles, especially in small children or when large recessions are performed. The globe is grasped with a Lester forceps at the limbus. It is best to grasp the limbus with the forceps held perpendicular to the globe and then to position the forceps so that they are rotated and lie tangential to the globe. Forced ductions are performed to detect any restriction of movement of the globe (Fig. 9).
The globe then is gently elevated from the orbit or proptosed at the same time it is abducted or adducted to prepare for the incision. Elevation of the globe helps to separate the horizontal rectus muscle from the inferior rectus muscle so that the inferior rectus muscle is not cut when the incisions are made. The conjunctiva is grasped by the assistant with a Manhattan toothed forceps (Fig. 10). This forceps has teeth that are angled outward and are designed to grasp conjunctiva, as well as the deeper subconjunctival tissue, so that when the blunt-tipped Westcott scissors cuts into the tented tissue, an incision is made into the conjunctiva and Tenon's capsule (Fig. 11A and B). If the incision does not completely penetrate Tenon's capsule and the intermuscular septum to the scleral surface of the eye, additional tissue (anterior Tenon's tissue and/or intermuscular septum) is grasped with the Manhattan forceps and at least one additional cut is made. A Stevens' tenotomy hook is passed by the surgeon into the incision and is rotated so that it can be slid underneath the muscle insertion with the tip of the hook held tangential to the globe (Fig. 12). The hook should be passed 2 to 3 mm posterior to the expected location of the muscle insertion. Care is taken not to incorporate intramuscular septum or other adventitial tissue on the hook. When the lateral rectus muscle is secured with the Stevens' or Jameson muscle hook, care should be taken not to bring the inferior oblique muscle up to the insertion (Fig. 13). When the muscle is secured with the Stevens' hook, the hook and the inferior edge of the muscle insertion are elevated and a Jameson muscle hook is passed between the tented muscle tissue and the sclera to secure the muscle at its insertion (Fig. 14). Care is taken to include the entire insertion of the tendon on the hook. The tip of the Jameson hook is gently elevated by depressing the heel of the hook. This maneuver helps to ensure that the entire tendon of the muscle remains captured on the hook. A Stevens' tenotomy hook is placed in the incision, this time anterior to the insertion beneath the conjunctiva (Fig. 15). The Stevens' hook is passed posterior over the orbital surface of the muscle (Fig. 16). Gentle pressure on the Stevens' hook is directed posterior so that the check ligaments and Tenon's tissue that overlie the muscle belly are separated from the muscle capsule with blunt dissection. The hook usually is passed posterior for about 10 mm. When recessing a lateral rectus, attachments between the underside of the lateral rectus and inferior oblique are broken (Fig. 17). Two or three passes over the muscle are made, and, with simultaneous countertraction on the Stevens' hook and the Jameson hook, the conjunctiva is elevated and pulled over the tip of the Jameson hook (Fig. 18A and B).
The intermuscular septum and Tenon's capsule at the ball-like tip of the Jameson hook are incised with a Westcott scissors (Fig. 19). A Manhattan forceps can be used to elevate the intramuscular and Tenon's tissue to facilitate this step. Care is taken to incorporate the entire muscle tendon on the Jameson hook before this cut is made. If it is evident that there is residual tendon that is not placed on the hook, the additional tendon, intramuscular septum, and anterior Tenon's tissue are reflected over the tip of the Jameson hook with the closed tips of the Westcott scissors or a small muscle hook. A Stevens' hook is inserted in the opening in the intermuscular septum created by the scissors and is passed anterior to the insertion. Parks has referred to this maneuver as the “pole test.” This maneuver is done to verify that the tendon of the muscle has not been split and that the complete muscle tendon is incorporated on the hook. Leaving residual slips of muscle tendon will partially or completely negate the effect of a recession procedure (Fig. 20A and B). The anterior Tenon's capsule is cut free from the muscle insertion by grasping the loose tissue anterior to the insertion of the tendon with a forceps and gently tenting it (Fig. 21A and B). Care is taken not to grasp muscle capsule or muscle tendon fibers in the forceps. To best accomplish this step, the blunt tipped Westcott scissors is placed perpendicular to the globe. Cleaning the tissue anterior to the muscle permits passing the needle accurately through the rectus muscle tendon with unobstructed visualization. If the capsule of the muscle tendon is cut, the tendon may split. Two small Stevens' hooks are used to elevate the conjunctiva and expose the intermuscular septa and the tissue overlying the muscle capsule. These tissue bands are cut with the Westcott scissors (Fig. 22A and B). Care is taken not to cut into the muscle or the capsule of the muscle (Fig. 23). The intermuscular septa can be cut 3 to 4 mm back for recessions and 5 to 9 mm back for resections.42 The tendon of the rectus muscle is elevated by lifting it away from the globe with the Jameson hook in a plane that is perpendicular to the surface of the globe. With gentle traction on the muscle insertion with the Jameson hook, a fine spatulated needle with a synthetic absorbable suture is woven through the tendon 1 mm from its insertion to the globe (Fig. 24). The needle exits at the superior edge of the muscle tendon and is then passed back underneath the tendon of the muscle (Fig. 25A and B). The needle is then passed back through the tendon from underneath (lock bite) and out the anterior surface of the tendon, taking a 2-mm portion of tendon that will be incorporated into the double-lock knot. Taking too large a lock bite will tend to narrow the width of the muscle tendon (Fig. 26A and B). The two sutures are brought up and held by the surgeon's thumb on the frets of the Jameson hook (Fig. 27). A blunt-tipped Westcott scissors is used to cut the muscle tendon free from its insertion. The cutting blade of the Westcott scissors is passed posterior to the muscle insertion. Care is taken not to push the tip of the scissor into the insertion but rather to pass the posterior tip of the scissor behind the muscle tendon, in the free space created by elevating the muscle with the Jameson hook. Two or three snips usually are required to remove the muscle from the globe. Care is taken to cut the scleral portion of the insertion flush with the globe. Leaving a large stump at the old insertion will leave a vertical white band of tissue that will show through the conjunctiva and leave an unsightly scar.
The muscle is suspended to verify that both the muscle tendon and the muscle capsule are incorporated with the suture and its lock bites (Fig. 28). In addition, pulling the sutures superior and inferior will assure the surgeon that the transverse suture that was woven through the tendon was not cut when the muscle was removed from the globe (Fig. 29). The globe is stabilized with two locking Castroviejo forceps with 0.5-mm teeth (Fig. 30). Care is taken to grasp the most superior and most inferior portions (for vertical muscle, the most lateral and most nasal portions) of the insertion. For recessions, exposure of the sclera posterior to the insertion is obtained by abducting or adducting the globe while applying a gentle lifting action of the forceps at the insertion. This elevating, or proptosing the globe from the orbit, opens the edges of the conjunctival-Tenon's incision and provides improved exposure of the sclera where the muscle will be reattached.
A Castroviejo caliper is used to mark a point on the sclera at a predetermined distance from the posterior portion of the muscle insertion (Fig. 31). Some surgeons prefer to mark the sclera the using the limbus as a reference point. These surgeons believe that it is more accurate to measure from the limbus than from the insertion of the rectus muscle because the insertion may have some anatomic variation. If a large recession procedure will be performed, measurement from the limbus will introduce a cord effect that will increase the amount of recession achieved (Fig. 32). To reduce this effect, William Scott has designed a curved ruler that provides a more accurate measurement of the arc. It is important for the surgeon to be careful and consistent with the measurement technique so that the effect of the surgical procedures can be critically evaluated. The needle is grasped with a locking Barraquer needle holder at the middle portion of the shaft. Grasping the S wedged portion of the needle can cause the needle to roll within the jaws of the needle holder and this can increase the risk of penetration of the sclera. At the mark created by the caliper, there is usually a small dimple or depression in the sclera. The mark results from expressing water from the sclera so that the blue color of the uvea is seen. Because the muscle will attach to the globe at the point at which the needle tip enters the sclera, care is taken to start the intrascleral needle pass at the point marked by the caliper (Fig. 33). Care should be taken not to introduce any unintentional supraplacement or infraplacement effect of the tendon at the new insertion. The width of the insertion should be preserved: The width of the new insertion should equal the width of the original insertion. If the width of the insertion is not preserved, the muscle will not pull up to the new insertion evenly (Fig. 34A and B). If there is a sag in the new insertion caused by the new insertion site being too narrow, the suture can be passed back through the insertion to pull the center of the sagging muscle tendon back to the insertion (Fig. 35). The fine wire needles need to be passed following the curvature of the needle tip. Attempts to elevate the tip of the needle while it is in the sclera can cause the needle shaft to bend (Fig. 36A and B). Some surgeons advocate a “crossed-swords technique” so that the second needle pass does not cut the suture from the first needle pass. With appropriate magnification, the other end of the suture is easily avoided. Once the needles have been passed through the sclera, the muscle is pulled up to its new insertion (Fig. 37). A Stevens' hook is used to keep the Tenon's and other surrounding tissue from being drawn into the insertion. The synthetic absorbable sutures tend to drag Tenon's tissue when the suture comes in contact with this tissue. Coating the suture tends to minimize this problem but does not completely eliminate it. The muscle is tied with a surgeon's (double throw) knot that is further secured with two or three square knots. The new insertion is checked and measured to verify that the muscle is in the desired position. After the measurement is checked, the locking Castroviejo forceps are removed. The conjunctival edges of the wound are repositioned or swept closed with a muscle hook. The wound is not sutured. After the procedure, we do not use ointments or occlusive dressings. A drop of an antibiotic-steroid solution can be applied at the discretion of the surgeon. RESECTION PROCEDURE: FORNIX INCISION This procedure is a resection of a lateral rectus muscle. The approach to the rectus muscle to be resected is similar to that of the recession. The limbus is grasped with a Lester forceps. The globe is rotated up and away from the muscle to be resected. The conjunctiva is incised, and the rectus muscle is grasped with a Stevens' hook that is replaced with a Jameson hook. The Tenon's tissue and intermuscular septa are cut and reflected onto the Jameson hook. The intermuscular septa are cut with a Westcott scissors. The rectus muscle tendon is then suspended between the Jameson muscle hook (Fig. 38).
A fine-wire spatula-tip needle is woven through the muscle or tendon. Care is taken to avoid the anterior ciliary vessels on the orbital surface of the muscle (Fig. 39). The resection effect is achieved by measuring the location of the transverse suture from the posterior portion of the Jameson hook at the insertion to a predetermined point on the muscle tendon. Various locations can be used as reference points. This measurement can be taken from the anterior, middle, or posterior portion of the Jameson hook under the muscle. Periodic review of the effects of the operation will determine the amount of surgical correction that is achieved for each surgeon's individual technique. The suture is passed back through the tendon on the origin of the muscle side of the transverse suture. The suture is secured to the tendon with double-throw lock knots (Fig. 40). The muscle is clamped with a fine-tipped vascular clamp (Fig. 41A). A vascular clamp is used because it minimizes the crush damage to tissue that is held in the clamp. Care is taken not to include the transverse suture or any of the lock knots in the clamp. The clamp is stabilized on the drape with a towel clip (see Fig. 41B). A Stevens' hook is used to pull the conjunctiva and anterior Tenon's tissue away from the muscle, and a Westcott scissors is used to cut the muscle free from its insertion (Fig. 42). The muscle stump that is to be resected is grasped with forceps and elevated from the clamp. The resected tendon is then cut free from the clamp with a Westcott scissors (Fig. 43). The sutures are pulled away from the jaws of the clamp by the assistant so that they are not cut. A wet-field cautery is used to cauterize the stump of muscle that is held in the clamp (Fig. 44). The muscle insertion is grasped with a locking Castroviejo forceps in the center of the insertion. Each needle is passed from the upper or lower (for a vertical rectus, medial or lateral) pole of the insertion to exit near the center of the old insertion. The intrascleral bite is made in sclera that is just anterior to the insertion. This location is used to allow the needle to pass through the thickest portion of the sclera (Fig. 45). At the midpoint of the insertion, the tip of the needle is brought out of the sclera and the needle is regrasped and passed through the central portion of the muscle tendon on the origin side of the previously placed transverse suture (Fig. 46). A double-throw knot is tied, and the knot is pinched by the surgeon's index finger and thumb (Fig. 47A and B). The muscle clamp is removed, and the knot is pulled down to the muscle by elevating the suture and snugging it down in a stepwise fashion. Two or three additional square knots are added to secure the muscle to the new insertion (Fig. 48). The muscle is inspected to verify that Tenon's tissue is not drawn into the insertion. The knot is trimmed, and conjunctiva is reposited over the muscle with a Stevens' hook (Fig. 49).
RECESSION PROCEDURE: LIMBAL APPROACH The surgeon and the assistant sit opposing each other on either side of the patient's head. The surgical technician is located between the surgeon and the assistant. Two 6-0 silk stay sutures are passed through the conjunctiva and superficial scleral tissue at the limbus (see Fig. 49). These sutures are used to stabilize the globe during the procedure. These stabilizing sutures attached to bulldog clamps will hold the globe in adduction or abduction as required. A no. 15 surgical knife or other similar instrument is used to penetrate the conjunctiva at the limbus (Fig. 50). Care is taken to approach the limbustangential to the globe so that inadvertent penetration of the sclera or cornea is avoided. A Westcott scissors also may be used to incise the conjunctiva at the limbus. To facilitate this step, conjunctiva is lifted gently with a 0.5-mm Castroviejo forceps (see Fig. 50).
A blunt-tipped Westcott scissors is used to extend the incision for about 3 clock hours (Fig. 51). Once the fused area of conjunctiva and anterior Tenon's capsule has been penetrated, blunt dissection is performed to carry the limbal incision back toward the muscle. This maneuver is best accomplished by directing the closed tips of a blunt-tipped Westcott scissors into the tissue and letting them open to spread the tissue in a plane between the scleral surface and the underside of Tenon's tissue. The limbal incision is extended radially with a Westcott scissors (Fig. 52). Care is taken to avoid cutting into the anterior portion of the rectus muscle insertion (Fig. 53).
Figure 54 shows the conjunctiva being elevated by the assistant with Castroviejo forceps. The anterior extension of the muscle can be seen.
A Jameson hook is passed under the rectus muscle about 2 mm posterior to the insertion (Fig. 55). The insertion has been identified previously with a Stevens' hook that is used to lift up the tendon to facilitate passage of the Jameson hook. Figure 56 shows sharp dissection of the intermuscular septa and the check ligaments that extend from the orbital surface of the muscle. The assistant applies gentle traction to the conjunctiva to show the surgeon the weblike bands that are to be cut. Care is taken not to penetrate the muscle capsule because penetration can injure the muscle and will cause bleeding. This dissection is carried back about 4 to 5 mm for recessions and 5 to 9 mm for resections. A single-armed 6-0 synthetic absorbable suture is passed through the muscle tendon near its insertion (Fig. 57). A double-lock bite is taken with the needle, and the suture is tied with two square knots to secure it to the upper and lower poles of the tendon of the rectus muscle. The muscle is lifted or tented off of the surface of the globe with a Jameson hook. A Westcott scissors is used to cut the muscle free (Fig. 58).
The assistant holds the Castroviejo caliper that marks the location of the new insertion (Fig. 59). Care is taken to locate it directly posterior to the stump of the old insertion and to avoid inadvertent supraplacement or infraplacement of the new insertion.
An intrascleral passage of the needle is used to secure the muscle to the globe (Fig. 60). The intrascleral bites are usually 3 to 4 mm in length. The superior and inferior pole sutures are tied to secure the muscle to its new insertion site (Fig. 61), and the wound is inspected. The new insertion is measured to ensure that the appropriate amount of recession effect has been achieved. The sutures are trimmed, and the conjunctiva is brought back to the limbus (Fig. 62). Care is taken to identify the conjunctival tissue. Confusion may occur when an attempt is made to differentiate this tissue from Tenon's tissue. A fine absorbable suture such as 8-0 collagen is used to secure the conjunctiva at the limbus (Fig. 63). If an en bloc recession technique is used, or a bare sclera closure is required, the conjunctiva is recessed 4 to 5 mm back from the limbus, leaving the sclera between the anterior conjunctiva edge and the limbus uncovered. This technique is useful when conjunctival and subconjunctival tissue is contracted or when it restricts movement of the globe.
RESECTION PROCEDURE: LIMBAL APPROACH Incision is made into the conjunctiva at the limbus (Fig. 64).
The assistant elevates the conjunctiva while the surgeon uses a Stevens' hook to elevate the rectus muscle (Fig. 65). A Jameson muscle hook is passed under the muscle tendon in a plane that is tangential to the scleral surface, about 3 mm behind the tented rectus muscle insertion. Figure 66 shows the rectus muscle on the Jameson hook.
The surgeon cuts the intermuscular septa free from the muscle capsule (Fig. 67). A Castroviejo caliper is used to measure the amount of tendon that will be resected (Fig. 68). A Jameson resection clamp is placed on the muscle at the point of anticipated resection. Measurement is made from the portion of tendon that is on the posterior edge of the Jameson hook to the resection clamp. Exposure is facilitated with a Desmarres retractor.
The muscle is cut free from its insertion (Fig. 69). The surgeon holds the Jameson clamp to elevate the muscle from the globe, and, using the other hand, the surgeon cuts the muscle free from the globe. The muscle stump is cut so that it is flush with the globe.
The globe is stabilized with a 0.5-mm-toothed Castroviejo forceps (Figs. 70 and 71). A mattress stitch with a double-armed 6-0 synthetic absorbable suture is placed through the most inferior portion of the insertion. The second needle is passed 1 mm below the central portion of the insertion. The initial penetration of the needle is just anterior to the insertion, and a secure bite is taken of the former insertion so that the needle exits just posterior to the old insertion. The needle is then passed underneath the Jameson resection clamp through muscle tendon, and the two sutures are held with a bulldog clamp to keep them separate from the sutures that are later passed through the upper pole of the insertion. Figure 71 shows the sutures being tied. This maneuver will effectively bring the resected muscle tendon up so that it can be reinserted at the insertion. Once the muscle is tied securely, the Jameson resection clamp is released and then advanced to the cut end of the insertion (Fig. 72). Under direct visualization, a Westcott scissors is used to trim the excess muscle stump. Care is taken to leave at least 1 mm of muscle tendon in front of the two sutures that secure the muscle to the insertion. After the muscle stump has been inspected, the conjunctiva is advanced back to the limbus (Fig. 73). Two 8-0 collagen sutures are used to secure the conjunctiva at the limbus. The small open radial portion of the incision will heal without suture closure. If the surgeon “buries the knots” under the conjunctiva near the limbus, the patient will have less foreign body sensation. Figure 74 shows the eye immediately after a recess-resect procedure. The conjunctiva should be smooth at the limbus to prevent disruption of the tear layer and formation of dellen. The eye is not patched. Antibiotic drops or antibiotic-steroid drops may be used at the discretion of the surgeon.
|
| POSTOPERATIVE CARE |
| In the early postoperative period, patients are given antiemetic suppositories and a clear liquid diet to control nausea. If pain is experienced, acetaminophen is given. Warm compresses with a clean washcloth soaked with warm tap water are applied to the closed eye several times a day for 3 to 4 days after the operation, or until the bloody secretions have subsided. We do not routinely use antibiotic drops or occlusive dressings. The patient or family may be contacted by the surgeon's office and/or the surgical facility to ensure recovery from the procedure is proceeding as expected. The patient is re-examined 3 to 7 days after the operation and again at 4 to 6 weeks. If there is suspicion of a complication or an unexpected result, more frequent follow-up visits are indicated. |
| RESULTS |
| The results of operations to correct strabismus will depend on the accuracy
of analysis of the causes of the ocular misalignment. The repositioning
of the rectus muscles is an execution of strategy to correct the
strabismus. This strategy is planned in the office, before proceeding
to the operating room. This plan may be altered based on findings at
the time of the operation. Even with precise measurement and meticulous surgical technique, overcorrections and undercorrections will occur. Some will occur as a result of sensory and motor factors whose explanation is beyond the scope of this chapter. The execution of surgical repositioning of extraocular muscles should be a consistent procedure, executed with precision with the use of meticulous surgical technique. Surgeons should expect the procedure to yield an equal number of overcorrections and undercorrections. Periodically, surgeons should review their results and adjust their procedures and measurements accordingly. An acceptable result is a comitant deviation of less than 5 to 10 prism diopters as measured by the alternate prism and cover test at 6 weeks. For vertical deviations, fusion amplitudes are not as great, and deviations as small as 2 to 3 prism diopters are significant and can produce distracting diplopia. |
| COMPLICATIONS AND THEIR MANAGEMENT | |||||||
| All operations have complications. Some complications are avoidable, but
others will occur even when the most stringent preventive measures have
been taken. Complications of rectus muscle surgery may occur during
the procedure or in the immediate or late postoperative period. CORRECT EYE AND CORRECT PROCEDURE The surgeon should identify the most probable eye or eyes that will be operated on in the office. Agreement between the surgeon and parents or patient should be confirmed when preparing the consent. The surgeon should review the clinical record thoroughly before performing the surgery. Before the operation is scheduled, an attempt should be made to obtain old records if the surgeon believes that they will influence surgical decisions. A strategy to correct the ocular alignment with a single operation should be designed and transferred to the patient's record. The record or a copy of this record should be available in the operating room for reference in case unexpected findings occur. The surgeon should personally identify the patient and indicate the eye or eyes to be operated on before beginning the procedure. When the patient is a child, the surgeon should support and reassure the child during the induction of the anesthetic. HEMORRHAGE A small amount of bleeding during rectus muscle surgery is common. Bleeding is controlled with application of wet-field cautery. Small amounts of cautery will have no effect on the outcome of the procedure. Deep orbital bleeding usually occurs when a muscle hook is passed more than 10 to 12 mm posterior to the muscle insertion, where it can engage or tear a vortex vein. Excessive traction on a muscle may stretch a vortex vein to its point of rupture. Bleeding from a vortex vein is controlled by removing the instruments and the lid speculum. The globe and orbital contents are gently compressed for 3 to 4 minutes with a 4-× 4-in. gauze pad that is placed over the closed eyelids. Bleeding usually subsides with these measures. Once bleeding has stopped, the procedure can be resumed. Deep orbital bleeding can produce periorbital ecchymosis that will last 7 to 10 days. Another common source of hemorrhage is bleeding from the anterior ciliary vessels. This bleeding may occur when a needle is passed through the tendon and penetrates one of the anterior ciliary vessels. This penetration will cause a self-limited hematoma under the muscle capsule (Fig. 75). It may also occur when the Tenon's tissue is cleaned from the muscle (Fig. 76). Hemorrhage around the insertion may make removal of the muscle from the globe difficult because it can obscure the area where the tendon of the muscle is attached to the globe. Bleeding from the anterior ciliary vessels can be controlled by cauterizing vessels with a wet-field (bipolar) cautery. Care should be taken not to cauterize tissue near a suture after it has been placed because doing so may cause structural damage to the suture.
SLIPPED MUSCLE If the muscle becomes completely detached from the globe and contracts posteriorly, the term “lost” muscle is used. A muscle that moves from its desired location is called a slipped muscle.43–46 Causes of a slipped muscle include untying of the knot (Fig. 77A and B), inadvertent cutting of the suture, placing the suture too close to the insertion, or taking an inadequate bite of sclera with passage of the needle. In the latter case, the suture will “cheese wire,” or pull through the sclera. Finally, if the suture engages only the muscle capsule and not the tendon, the tendon can slide posterior within the muscle capsule. Because the maximal pull, or force, generated by an extraocular muscle is only 50 g, insufficient strength of the suture material is seldom the cause of a slipped muscle. SCLERAL PERFORATION Recognized and unrecognized scleral perforation will occur. Reattachment of the muscle to the globe requires passing a needle within the sclera. The scleral coat of the globe is thinnest just posterior to the insertion of the rectus muscles. If the sclera becomes dry, it will thin further, and the blue color of the underlying uveal tissue will be visible. Needles with specially designed spatula tips are used to draw the sutures through the scleral tissue. Adequate illumination and magnification will facilitate this procedure. If the operation is prolonged, periodic wetting of the cornea and sclera with saline or a balanced salt solution will reduce thinning resulting from desiccation. In addition, adequate exposure and stabilization of the globe will reduce this complication. Scleral perforation also can occur when the needle is in the sclera and the surgeon attempts to lift the tip of the needle by placing torque on the needle with the needle holder (see Fig. 36). The fine-wire needles will bend, and, when the needle is released, the tip is directed posterior or into the sclera. Unexpected movement of the patient also may cause perforation of the globe (Fig. 78).
If the surgeon suspects that a needle has penetrated the globe and passed into the choroid or through the retina, indirect ophthalmoscopy should be performed.47–49 If a hole in the retina is observed, retinal consultation should be considered. Cryotherapy can be applied over the perforation site. If there is no hemorrhage and the vitreous is solid (the patient is young), I do not use cryotherapy. However, if the patient is an older adult or there is a large myopic refractive error or the vitreous has become liquefied, it would be prudent to apply cryotherapy to the sclera over the site of the perforation. Direct visualization can be used to control the amount and extent of retina treated. Use of antibiotics and consultation with a vitreoretinal surgeon for treatment or following treatment can be considered. CONJUNCTIVAL SCARRING AND DISTORTION OF ANATOMY Rectus muscle surgery should not disturb the plica semilunaris. If a medial rectus muscle is lost at the time of surgery and vigorous attempts are made to find it, the tissue that attaches to the plica can be distorted as a result of tissue trauma and hemorrhage associated with the exploration. The plica may become adherent to the surface of the globe, and this adherence can result in a restrictive strabismus. When a rectus muscle is cut free from the globe, the surgeon should attempt to cut the muscle tendon flush with the scleral surface. Failure to do so will leave a vertical white scar under the conjunctiva that overlies the old muscle insertion, especially when the lateral rectus muscle is recessed. NAUSEA Nausea commonly occurs after strabismus surgery despite many efforts to prevent it. Nausea occurs as a result of stimulation of the oculocardiac reflex, which produces a vagal response.50–52 When stimulated, this reflex can cause nausea or even asystole.51 Stimulation of this reflex combined with the use of general anesthesia, usually will produce 3 to 5 hours of nausea after strabismus surgery. Nausea is the most common cause of admission for overnight observation.52 To prevent nausea, the surgeon and assistant should exert only as much traction on the muscles and surrounding tissues as is needed to provide adequate visualization. Nausea is best managed by suctioning the stomach at the end of the operation and restricting fluid intake. Light feeding is recommended in the immediate postoperative period. Care is taken to replace fluids with administration of intravenous fluids. The use of rectal suppositories such as Tigan 100 to 200 mg every 4 hours also may be helpful. LIGHT SENSITIVITY Light sensitivity can be caused by inadvertent trauma to the cornea during the procedure or by a combination of drying of the cornea surface and disturbance of the normal tear film by the preparation solutions. The mild keratitis caused by drying and preparation solutions can be avoided by keeping the procedure time to a minimum. Measures should be taken to protect the cornea throughout the procedure. DELLEN Strabismus surgery can cause a dell or dellen or a reduction in corneal thickness from deficiencies in tear film. Usually, this problem is caused by elevation of the conjunctiva at the limbus. Care should be taken to ensure that the lids will pass over a smooth conjunctival surface at the corneal-scleral junction at the conclusion of the procedure. Simply patching the eye for a few hours will cause the cornea stroma to rehydrate and return to its normal thickness. INFECTION Because infections after strabismus surgery are uncommon, we concur with the many surgeons who prefer not to use antibiotics or antibiotic-steroid drops after uncomplicated strabismus procedures.53–56 Conjunctivitis is common and results most commonly from irritation of the conjunctival surfaces by preparation solutions. The conjunctiva may be irritated by the procedure. If there is purulent discharge, the use of topical antibiotics should be considered. Occasionally, a small abscess may form around a suture (Fig. 79). Orbital cellulitis and endophthalmitis are extremely rare complications of strabismus surgery. Only three cases of endophthalmitis have been reported after strabismus surgery since 1935.53 Ing55 found one case of cellulitis for every 1900 strabismus operations performed. The same author reported 1 case of endophthalmitis for every 30,000 cases of strabismus surgery.55 Cellulitis can occur if a child rubs the eyes after rubbing a runny nose. To avoid this complication, children who have a febrile illness should have elective surgery postponed.
Endophthalmitis can result from inadvertent scleral perforation. Use of prophylactic antibiotics may be considered. Systemic intravenous therapy is used to treat cellulitis, and appropriate measures should be initiated promptly if endophthalmitis is suspected. VASCULAR COMPLICATIONS Anterior segment ischemia or necrosis can occur after rectus muscle surgery.35,57,58 Usually, ischemia occurs after removal of the third or, more commonly, the fourth rectus muscle. Predisposing factors are thyroid eye disease, sickle cell anemia, and prior strabismus surgery. Recovery of ocular function after ischemia usually occurs within weeks.59 To avoid this complication in patients at risk, surgeons should use a cul-de-sac approach to gain access to the rectus muscle.60 This approach to the rectus muscle preserves the conjunctival circulation at the limbus. The limbal circulation does not have an important role in nourishing the anterior segment. However, the conjunctival vessels anastomose with deeper vessels, and this approach may provide added safety in borderline cases. Patients at risk can be pretreated with aspirin 3 days before surgery. Oxygen requirements may be reduced by treating inflammation with a topical or oral corticosteroid. The surgical strategy to correct a deviation should be planned so that as few rectus muscles as possible are repositioned. PYOGENIC GRANULOMA-CONJUNCTIVAL CYST About 1 of every 100 strabismus operations will be complicated by the development of exuberant granulation tissue at the site of the conjunctival incision (Fig. 80). Tenon's capsule can protrude through the conjunctival incision and produce an exuberant granulation response. Granulation tissue is treated with frequent application of topical antibiotic-steroid drops. The granuloma usually will become pedunculated and drop off of the site. If the base is broad, the tissue is lifted with a forceps and removed with a scissors.
Conjunctival cysts pose more difficult problems.61 These cysts usually form under the conjunctival surface, but some may be carried back with the recessed muscle and rest alongside the muscle or its new insertion (Fig. 81). Cysts occur more frequently after correction of strabismus in patients with strabismus following retinal detachment procedures or re-operations. Cysts do not respond to medical treatment and almost always require surgical excision. In these cases, the surgeon should attempt to remove the entire cyst structure or to marsupialize it if complete removal is impossible.
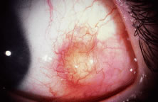
RESTRICTION Restriction of the globe after rectus muscle surgery should be uncommon (Fig. 82). Restriction usually is caused by scar tissue that is produced by tissue trauma. Meticulous surgical technique, the use of synthetic absorbable sutures, and a clear understanding of and respect for the anatomy will minimize these complications.
EYELID POSITION Recession or resection of a vertical rectus muscle that is larger than 3 mm may cause the lids to follow the muscle. For example, if the muscle is recessed, the lid overlying the muscle will be elevated or retracted with the muscle. The opposite effect occurs with resections. The effect of strabismus surgery on eyelid position can be reduced by dissecting the intramuscular septa and check ligaments under the inferior rectus muscle and by dissecting and severing the capsulopalpebral attachments from the inferior rectus muscle to the lower lid.62,63 OVERCORRECTION AND UNDERCORRECTION Despite all efforts to understand a patient's problem and the meticulous execution of a surgical repositioning of the muscles, overcorrections and undercorrections occur. The surgeon should make every effort to ensure that technique failure is not the cause of the undesirable alignment. If the overcorrection and undercorrection is small, occlusion, prisms, optical, botulinum A toxin, and finally re-operation may be used to produce a satisfactory alignment. When these measures fail, and if the residual deviation is unacceptably large, re-operation should be considered as soon as 6 to 8 weeks after the initial procedure. If a muscle is slipped or there is unexplained lack of function of a muscle during the first week after surgery, immediate exploration is indicated to correct the problem. REFRACTIVE ERROR An astigmatism may be produced or altered by rectus muscle surgery.64–68 Changes in children usually are transient, but in adult patients, the altered refractive error may persist.65 Once the rectus muscles resume their normal contractile force, distortion of the anterior segment and cornea is reduced and the astigmatism disappears. This effect usually occurs before 8 weeks. Change in the refraction can occur as a result of scleral necrosis67 or as a result of displacement of the lens.68 |